
皆様こんにちは!赤坂総合デンタルオフィスで、勤務医をしております朝永と申します。
まだまだ寒い日が続きますが、今年ももう3月になりますね!時が経つのは本当に早いですね・・・
さて、当院では、定期的に歯やお口に関する情報を発信しておりますが、今回は「親知らず」をテーマに、お話ししていこうと思います!
そもそも親知らずとは、何なのかご存じでしょうか?親知らずとは、口の奥に最後に生えてくる第三大臼歯(智歯とも言います)のことを指します。10代後半から20代前半に生え始めることが一般的です。昔は寿命が短く、親が亡くなってから生えてきたことが名前の由来とされているようです。

ところでこの親知らずについてですが、皆様は、どのようにお考えでしょうか?
本当は残しておきたいけれど、親知らずと聞くとなんとなく抜歯した方がよいと考えていらっしゃる方も多いのではないでしょうか?
残せる親知らずとそうでない親知らずは、いったい何が違うのか・・・少しでも皆様のお悩み解決の一助となればと思います!


それでは早速ですが、レントゲン画像を用いて説明していこうと思います!
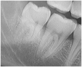
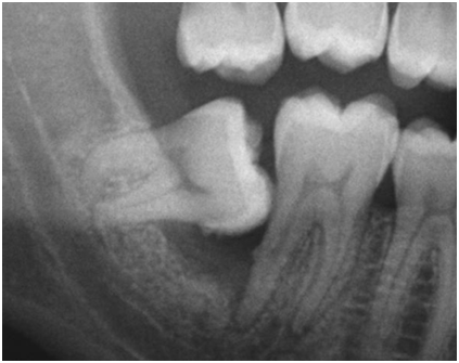
それぞれの画像の左側の歯が、親知らずになります。1枚目の親知らずは、隣の歯(第二大臼歯)と同じレベルの高さまで萌出しています。2枚目の親知らずは、2枚目と同様に横向きで隣の歯に衝突していますが、やや浅い位置で埋まっている状態です。1枚目の親知らずのように、正常に萌出できれば特に問題はないのですが、現代人は顎が小さくなり、奥のスペースが不足しているため、最後に生える親知らずが、2枚目の画像のように隣の歯に衝突し、斜めや横向きに埋まったままになるケースも少なくありません。先天的に親知らずが存在しないケースも含めると、おおよそ4人に1人は、親知らずが生えてこないというふうにも言われています。
また、このように親知らずが埋まったままの状態であると、歯茎が腫れて痛くなるだけでなく、隣の歯の虫歯や歯周病、歯並びのずれなどのリスクが上がることがあります。


上の画像は、親知らずの手前の歯に黒い影ができているのが分かると思いますが、この黒い影がいわゆる虫歯です。親知らずが、隣の歯に衝突し清掃性が悪くなることで、こういった虫歯の原因になることがあります。

次の画像は、手前の歯の虫歯は確認されませんが、親知らずの頭の周辺が全体的に黒く抜けており、骨が溶けてしまっている状態です。これも親知らずが原因で、歯周病が進行した結果です。
また、親知らずが、隣の歯に衝突していると横向きに手前の歯を押す力が働くため、前歯の歯並びが崩れてしまう一因にもなることも知られています。
このように埋まった親知らずを放置しておくと、色んな問題を生じる可能性があり、抜歯が推奨されることが多いです。しかし、埋まった親知らずの抜歯は、他の歯の抜歯と比較して難易度が高いことも多いため、一般のクリニックや歯の状況によっては対応できない場合もあります。
ご自身の親知らずの状態について気になった方は、相談だけでも大丈夫ですので、ぜひ当院にいらしてください!皆様のご来院を心よりお待ちしております!
